Casos e Soluções
Remoção de limas fraturadas com pontas de ultrassom
Dente 16 - Remoção de peça, pino metálico, limas fraturadas nos canais mv, mv2 e dv.Para a remoção de lima fraturada ou qualquer outro instrumento endodôntico fraturado dentro do canal, o mais importante de todos os equipamentos utilizados é o...
Remoção de cone de prata molar superior
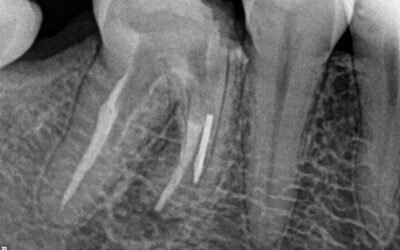
Remoção de Lima fraturada
Existem várias técnicas para remoção de lima fraturada e instrumentos fraturados no canal e é bom que o Endodontista conheça todas elas, pois a cada caso uma determinada técnica pode funcionar em detrimento das outras. Remoção de Lima Fraturada...
Remoção de Cones de Prata
REMOÇÃO DE CONES DE PRATA NOS CANAIS MV e ML
O que é um Canal Calcificado
O que é um canal calcificado? Um canal radicular calcificado é um canal dentário que tem uma camada de cálcio ou outros minerais depositados em sua parede interna. Isso pode ocorrer devido a vários fatores, como a idade, a saúde geral, o uso...
Remoção de broca gates fraturada dentro do canal
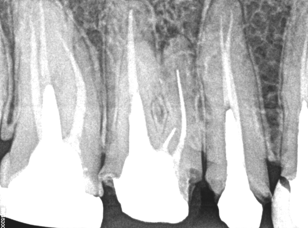
De acordo com a imagem abaixo foi feita a remoção de um fragmento fraturado dentro do canal utilizando pontas especificas de ultrassom.






