Blog
Casos e Soluções
Prototipagem
O que é prototipagem Antigamente a construção de moldes era feita por modelagem direta, mas agora estes são feitos com o auxílio de modernas ferramentas digitais, agilizando e aumentando a qualidade dos moldes, ou protótipos. O processo consiste em...
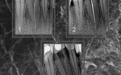
Lima Fraturada que ultrapassou o forame Apical
Neste caso, enviado por um colega, havia uma lima fraturada que ultrapassava o forame apical. Devido à grande dificuldade de remoção, por ela estar travada no forame, foi necessário usar uma lima Hedstroem com cola. E assim foi possível executar a...
Tratamento de Perfurações com MTA
Tratamento de Perfurações com MTA é solução para complicações indesejáveis que permitem a entrada de microorganismos nos tecidos que envolvem o dente. Em algumas situações, devido ao seu difícil diagnóstico, acesso limitado, ao tempo decorrido após...
O que é endodontia?
O que é Endodontia? Você já ouviu falar nisso? E em tratamento de canal? Há muitas informações que é preciso saber sobre o que é endodontia, essa especialidade da Odontologia, para que você nunca mais pense em fugir do seu dentista na hora que mais...
Localização de Canais Atresiados e Calcificados
A Localização de Canais Atresiados e Calcificados se torna necessária quando o tratamento de canal é dificultado pelo fato da diminuição do espaço que existe no interior do dente, que é normalmente ocupado pelo tecido pulpar (polpa) e é formado por...
Remoção de Lima Fraturada
Existem várias técnicas para remoção de instrumentos fraturados no canal e é bom que o Endodontista conheça todas elas, pois a cada caso uma determinada técnica pode funcionar em detrimento das outras. Para a remoção de lima fraturada ou qualquer...




